Sessão Radiográfica I
Nas "Sessões de imagem radiográficas e histopatológicas" serão postadas imagens de temas já abordados no blog, como uma forma de aumentar a percepção de exames radiográficos e histopatológicos.
Cisto Dentígero - Para mais informações clique aqui
Imagem radiolúcida bem circunscrita e associada a um elemento
impactado
![]() |
| Disponível em: http://www.identalhub.com/dental-what-are-dental-cysts-756.aspx |
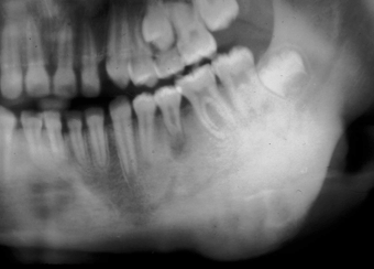
Grande cisto dentígero envolvendo ramo mandibular, essa lesão radiograficamente
poderia ser diagnosticada como uma ceratocisto odontogênico ou ameloblastoma unicístico.
![]() |
| Disponível em: http://www.ccij-online.org/article.asp?issn=2278-0513;year=2013;volume=2;issue=3;spage=233;epage=236;aulast=Goel |
Lesão radiolúcida de margens levemente escleróticas associado a um dente
impactado.
![]() |
| Disponível em: http://drgstoothpix.com/radiographic-interpretation/cysts-of-the-jaws/dentigerous-cyst/ |
O paciente apresenta duas lesões compatíveis com cistos dentígeros.
![]() |
| Disponível em: http://www.papaizassociados.com.br/cisto-dentigero-um-achado-imaginologico-comum/ |
Imagem difusa e levemente radiopaca, normalmente a lesão é descrita como aspecto de
"vidro despolido" ou "vidro fosco"
![]() |
| Disponível em: http://itphot.shdongliang.net/itphot_Displasia%20Fibrosa%20Monostotica_1.html |
Radiografia Oclusal revelando o aspecto de
"vidro despolido"
![]() |
| Disponível em http://www.cdi.com.pe/caso-85/detalle |
Podemos observar um aumento de volume radiopaco na região de ângulo da
mandíbula
Imagem levemente radiopaca em aspecto de "vidro despolido"
![]() |
| Disponível em: http://omicsonline.org/monostotic-fibrous-dysplasia-a-case-report-2161-1122.1000167.php?aid=20115 |
Cementoblastoma - Para mais informações clique aqui
Lesão radiopaca circundada por um halo radiolúcido. Essa lesão sempre estará em íntima
relação com a raiz dos elementos dentários.
![]() |
| Disponível em: http://www.cdi.com.pe/caso-416/cementoblastoma-benigno-infectado |
Lesão em contato com a raiz do dente
![]() |
| Disponível em:http://www.geemboomba.com/home/radiology/radiographic-pathology/cementoblastoma |
Lesão bastante densa circundada por um fino halo radiolúcido.
![]() |
| Disponível em: http://file.scirp.org/Html/9-1460082_18234.htm |
Cementoblastoma em radiografia periapical
![]() |
| Disponível em: http://gvwizard52.blogspot.com.br/2011/07/cementoblastomatrue-cementoma.html |












Nenhum comentário:
Postar um comentário